
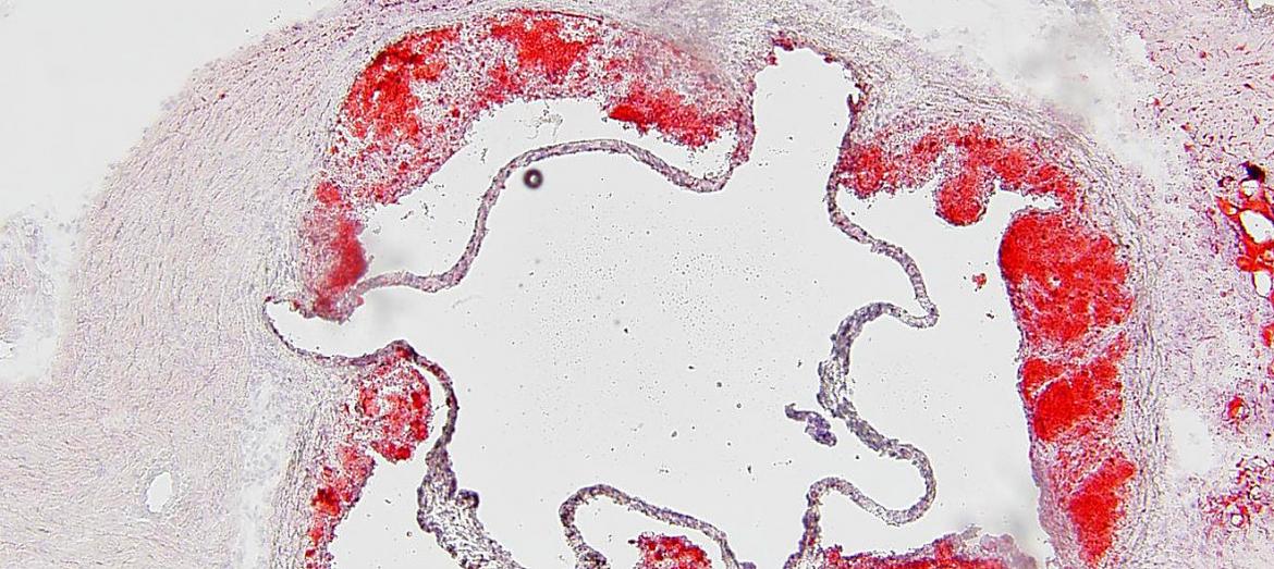
Inflammation in atherosclerosis
-Major lab
Immunometabolism and Metabolic Disease
The finding that obesity, diabetes, and cardiovascular diseases are driven by inflammation and that metabolic pathways influence immune cell differentiation an function has led to the field of Immunometabolism. This new field seeks to understand links between metabolism and inflammation. Working with the Vanderbilt Diabetes Research and Training Center (VDRTC), VCI member study how metabolic pathways contribute to the pathogenesis of the Metabolic Syndrome and how metabolic pathways modulate immunity.